記者陳金旺/台中報導
一名67歲牧場員工,駕駛飼料車停放斜坡,一時閃神忘了拉手煞車,一下車發現車子滑下坡情急下以身擋車不著,被車子推到側邊柵欄直接被擠壓在一側哀嚎求救,同事見狀緊急將其送醫急救,醫師發現兩側肋骨斷裂合併雙側氣胸,病況危急,幸好穩定生命跡象後進行鈦合金肋骨固定手術,患者三周後健康出院。
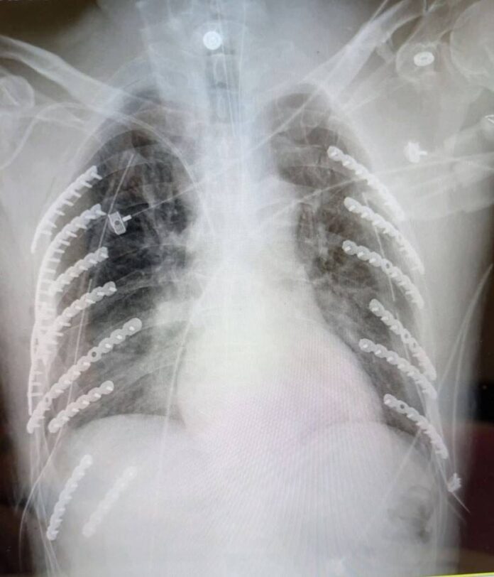
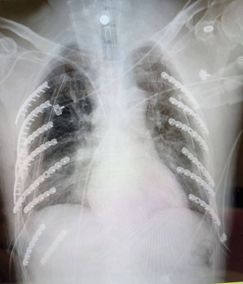
衛生福利部臺中醫院胸腔外科何蕙如醫師表示,患者第一時間被送往最近的急救醫院先插上胸管,確認生命跡象穩定後轉送到院,X光片顯示,雙側同時遭擠壓導致兩側共兩對二十八根肋骨,他就斷了十四根肋骨,甚至一根肋骨斷好幾截,比一般外傷平均斷裂三到五根嚴重許多;另外還合併左側鎖骨及部分脊柱裂傷,以及呼吸衰竭需插氣管內管,病況危急。
斷裂肋骨數量雖多,幸好未穿刺血管,在加護病房評估生命跡象穩定後,決定分兩階段手術。何蕙如醫師說,第一次植入八根、第二次植入六根鈦合金鋼骨,使肋骨復位固定,術後患者恢復良好,住院三周順利自己走著出院。他還自嘲身上十四根鈦合金,從此變成「鋼鐵人」,跟穿古代金鐘罩一樣厲害。
何蕙如醫師說,人體肋骨左右兩側共十二對,其中較常見骨折的肋骨為第四到第九根肋骨;而造成肋骨骨折最常見的原因為外傷,少部分則是病理性骨折,且多發生於老年人。
何蕙如醫師表示,過去肋骨骨折常以保守治療為主,,但自行恢復需要三到六個月的時間,且疼痛的狀況可持續至少兩個月之久,對於嚴重多處骨折的患者更可能延遲移甚至無法脫離呼吸器而需要氣切;而近年發展出使用鈦合金骨材進行肋骨的復位以及固定手術,則可大幅改善患者疼痛情形。
至於適合鈦合金肋骨復位固定手術的對象,何蕙如醫師也指出包括連續三根肋骨以上出現兩處以上骨折(稱為「連枷胸」)導致呼吸困難、肋骨嚴重錯位、使用止痛藥後疼痛指數仍高甚至影響呼吸及咳痰,以及合併嚴重氣胸或血胸年長患者(尤其行動不便或肌力不佳的長者),可以與醫師討論,作為治療的另一種選擇。
值得注意的是,剛完成胸骨固定手術患者,因為骨頭尚在癒合階段,建議一個月內不搬重物,動作小心避免胸部又遭撞擊造成二次傷害。



