記者陳金旺/台中報導
慢性腹痛常被誤以為腸胃不適,但背後可能潛藏嚴重危機。中醫大臺中市立老人復健綜合醫院近期成功以先進的 3D立體內視鏡高階微創手術,為一名長期受腹痛困擾的患者,同時切除左肝與膽囊,順利解除疼痛根源。這項高階微創手術不僅傷口小、恢復快,並避免肝內膽管反覆發炎導致癌變風險。
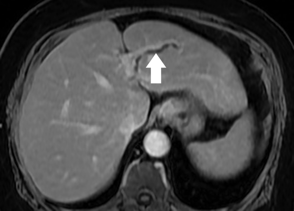
59歲陳女士長期承受間歇性腹痛,九月間於外院住院治療仍無改善,出院後轉至臺中市立老人復健綜合醫院。於肝膽腸胃科由內科部部長賴學洲醫師安排腹部超音波及核磁共振檢查,確診為左側肝內結石合併慢性肝內膽管炎及膽囊細沙併慢性膽囊炎,後經一般外科主任曹連誠醫師評估,安排 3D 立體內視鏡左肝切除加膽囊切除手術。患者術後恢復良好,第二天即可下床行走,自理生活,成功擺脫惱人的腹痛與長年不適。
肝臟及膽道手術過去大多以開腹方式進行,術後疼痛及恢復期長。此次採用的3D 立體內視鏡技術可清晰呈現肝臟內細微結構,3D立體視角搭配螢光血流影像,即時辨識血管與膽管位置,提高手術安全性與精準度。15 公分大的肝臟組織,僅透過約 5 公分傷口取出,可大幅降低術後疼痛與感染風險,縮短住院及復原時間,保留最多肝臟功能,同時避免肝內膽管癌長期風險。
醫師提醒,腹痛若反覆發生、無法以一般胃腸藥物改善,應及早就醫檢查,特別是合併發燒、黃疸、噁心等症狀,更應提高警覺。膽囊結石與肝內結石可能導致反覆感染,更可能增加癌症風險,不得不慎。



